Last Updated on 22 maart 2026 by M.G. Sulman
Gebruik de inhoudsopgave om snel te navigeren
- 1 Wat is galsteenileus?
- 2 Betekenis van het woord ‘galsteenileus’
- 3 Historische context
- 4 Vóórkomen
- 5 Hoe ontstaat een galsteenileus?
- 6 Symptomen: wanneer de darm letterlijk vastloopt
- 7 Diagnose: hoe artsen de obstructie zichtbaar maken
- 8 Behandeling: de doorgang vrijmaken en de oorzaak aanpakken
- 9 Herstel, risico op herhaling en mogelijke complicaties
- 10 Wanneer moet je direct medische hulp zoeken?
- 11 Prognose
- 12 Complicaties
- 13 Preventie
- 14 Lees verder
- 15 Geraadpleegde bronnen
- 16 Reacties en ervaringen
Wat is galsteenileus?
Galsteenileus is een bijzondere en relatief zeldzame vorm van ileus, de medische term voor een darmobstructie. In dit geval ontstaat de blokkade doordat een galsteen, meestal afkomstig uit een chronisch geïrriteerde galblaas, via een ontstekingskanaal naar binnen glipt. Zo’n kanaal heet een cholecysto-enterale fistel; het is een ongewenste verbinding tussen galblaas en darm die ontstaat na herhaalde ontstekingen. Waar galstenen normaal in de galblaas blijven, kan een grotere steen via deze opening in de dunne darm belanden en daar, vaak in het laatste stuk van het ileum, muurvast komen te zitten.
Het gevolg is een mechanische file: darminhoud kan niet verder, gas hoopt zich op en de darmwand raakt gespannen en prikkelbaar. Dat uit zich bij patiënten als een mengsel van buikpijn, misselijkheid en een opgezette buik, soms afgewisseld met perioden waarin de klachten even lijken te zakken. Die schijnbare adempauzes maken de aandoening desalniettemin verraderlijk. Een galsteenileus is geen gewone verstopping, maar een obstructie met een duidelijke bron en een potentieel grillig beloop. Uiteindelijk gaat het om een combinatie van anatomie, ontsteking en pech; drie factoren die samen een klassiek spoedgeval vormen en daarom snel herkend moeten worden.
Betekenis van het woord ‘galsteenileus’
Om de betekenis van het woord ‘galsteenileus’ te achterhalen, ontleden we het woord in twee delen: ‘galsteen’ en ‘ileus’.
Galsteen
- Gal: Verwijst naar gal, een vloeistof die door de lever wordt geproduceerd en opgeslagen in de galblaas. Gal helpt bij de vertering van vetten.
- Steen: Verwijst naar een harde, steenachtige massa die zich kan vormen in de galblaas. Dit wordt een galsteen genoemd.
Ileus
‘Ileus’ is een medische term die verwijst naar een verstopping van de darmen die kan leiden tot ernstige buikpijn, opgezette buik, braken en het onvermogen om ontlasting of winden kwijt te raken.
Historische context
Het begrip ‘galsteenileus’ werd voor het eerst beschreven door Thomas Bartholin in 1654. Thomas Bartholin (1616 – 1680) was een Deense arts, wiskundige en theoloog.
Vóórkomen
Galsteenileus is een zeldzame oorzaak van dunne darmobstructie bij volwassenen (1-4%). Bij ouderen komt het vaker voor. Vrouwen worden vaker getroffen dan mannen. Dit is bij galstenen ook zo.
Hoe ontstaat een galsteenileus?
Chronische galblaasontsteking als voedingsbodem
Een galsteenileus begint zelden plots. Meestal gaat eraan vooraf dat de galblaas gedurende langere tijd ontstoken raakt; artsen noemen dit chronische cholecystitis. Door die voortdurende irritatie wordt de wand dikker, kwetsbaarder en allengs geneigd om te verkleven met een aangrenzend deel van de darm, vaak het duodenum. In die nauwe omhelzing ontstaat een kwetsbare zone waar druk, ontsteking en beweging samen een opening kunnen forceren.
Het ontstaan van een fistel: een ongewenste doorgang
Wanneer de ontsteking aanhoudt, kan zich een cholecysto-enterale fistel vormen. Een fistel is een abnormale verbinding tussen twee organen; in dit geval tussen de galblaas en de darm. Het is alsof een ongewenste zijdeur wordt geopend. Door die opening kunnen galstenen die anders veilig opgesloten zouden blijven, de darm binnenvallen. Vooral grotere stenen, vaak tussen 2 en 5 centimeter, zijn berucht omdat zij te groot zijn om soepel door de darmen te glijden.
De reis van de steen en het punt van vastlopen
Zodra een grotere steen de darm binnengaat, begint zijn tocht door een kronkelend, relatief smal kanaal. Het ileum, het laatste deel van de dunne darm, is doorgaans de plek waar het misgaat. De dunnere diameter en de scherpe bochten maken het tot een klassiek knelpunt. De steen komt klem te zitten, de darminhoud stroomt niet meer door, en gas hoopt zich op alsof het verkeer op een provinciale weg abrupt tot stilstand komt.
Risicogroepen: vooral ouderen
Hoewel elke volwassene met galstenen in theorie een galsteenileus kan ontwikkelen, zien artsen het vooral bij oudere patiënten. Hun darmen reageren trager, hun weefsel herstelt langzamer, en voorafgaande galblaasproblemen worden soms te lang verdragen of moeilijker herkend. Het is die combinatie van leeftijd, ontsteking en omvangrijke stenen die de kans op deze complicatie vergroot.
Voorbeeld
Stel een 79-jarige vrouw met jarenlange galsteenklachten. Af en toe koliekpijn, soms koorts, maar ze bleef met wat paracetamol en thee thuis. Na een week van sluimerende buikpijn voelt zij opeens een felle druk in de onderbuik, gevolgd door misselijkheid en een snel opgezette buik. In het ziekenhuis toont een CT-scan een galsteen van bijna 3 centimeter die in het ileum muurvast zit. De oorzaak blijkt een stille, chronische fistel tussen galblaas en darm.
Zo ontvouwt zich het typische verhaal: een sluimerende ontsteking, een ongewenste doorgang, een steen die precies op het verkeerde moment op de verkeerde plek terechtkomt. En daarmee is het acute probleem geboren.
Symptomen: wanneer de darm letterlijk vastloopt
De eerste signalen: buikpijn die niet wegzakt
Een galsteenileus begint vaak met buikpijn die niet reageert op rust, warmte of een glas water. De pijn zit meestal rond het midden of de onderbuik en voelt als een diepe, drukkende last. In tegenstelling tot galsteenkolieken, die komen en gaan, blijft deze pijn hardnekkig; het is de spanning van een darm die duwt tegen een doorgang die al dichtzit.
Misselijkheid en braken
Naarmate de darminhoud zich opstapelt, raakt het lichaam ontregeld. Misselijkheid ontstaat doordat de maag terugduwt tegen de obstructie. Braken volgt soms in korte golven en is een klassiek signaal dat het verkeer in de buik volledig stremt. Bij ouderen kan dit snel uitdroging geven; een extra risico dat de situatie verergert.
Een opgezette buik: gas zonder uitweg
Wanneer gas niet verder kan, blijft het in de darmen gevangen. De buik zwelt op, wordt strak en voelt pijnlijk gespannen. Die opgezette buik is een van de meest herkenbare symptomen. Soms lijkt de spanning even af te nemen, maar dat betekent niet dat de steen is doorgeschoten; het is slechts een kortstondige verandering in drukverdeling.
Wisselende klachten die misleidend kunnen zijn
Een galsteenileus is verraderlijk omdat de klachten nu eens hevig en dan weer wat milder lijken. Die schijnbare verbetering ontstaat wanneer de darm tijdelijk om de steen heen beweegt, maar de obstructie blijft. Daardoor kunnen patiënten denken dat het wel meevalt, terwijl het probleem in werkelijkheid voortwoekert.
Algehele malaise en soms koorts
Door de combinatie van obstructie en ontsteking ontstaat vaak een gevoel van uitputting, soms licht verhoogde temperatuur en een algemeen ziek zijn. Vooral bij ouderen raakt het lichaam allengs uitgeput; de energiereserves zijn snel verbruikt.
Voorbeeld
Een 84-jarige man merkt dat zijn buik steeds ronder en strakker wordt. Hij voelt zich misselijk, eet nauwelijks en braakt na een klein kopje thee. Op een enkel moment lijkt de pijn wat te zakken, maar even later trekt de druk weer aan. Precies dat wisselende patroon maakt een galsteenileus zo misleidend: het lijkt af en toe te kalmeren, maar het gevaar blijft volledig aanwezig.
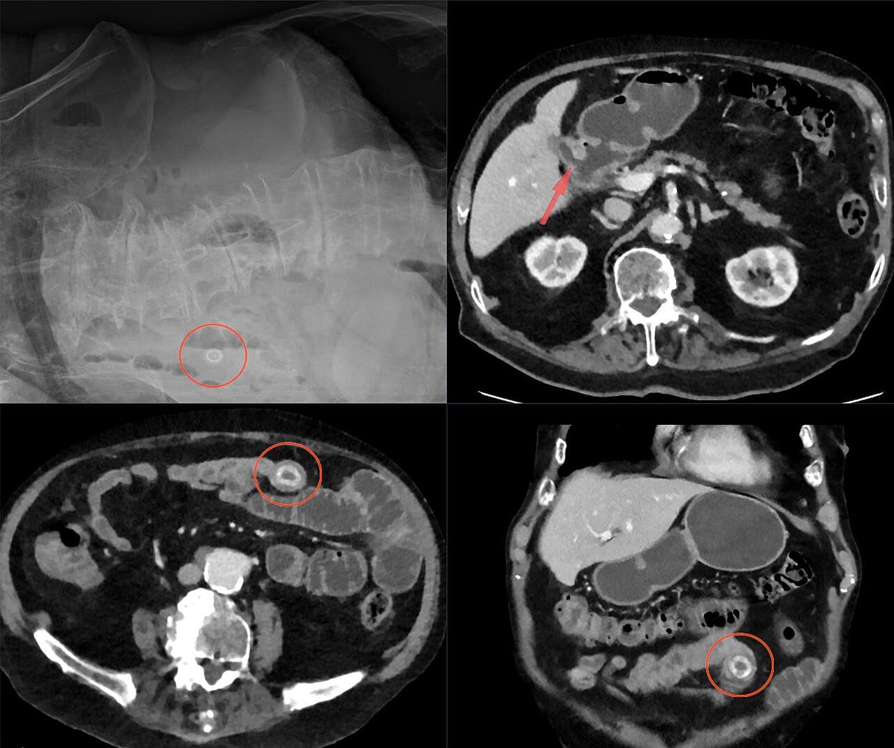
Diagnose: hoe artsen de obstructie zichtbaar maken
Waarom lichamelijk onderzoek slechts de eerste stap is
Bij een vermoeden van galsteenileus begint de arts met een anamnese (het verhaal van de patiënt) en een lichamelijk onderzoek. De buik voelt vaak gespannen aan, soms met duidelijke drukpijn. Toch is dit voor de arts slechts een voorportaal; de symptomen lijken sterk op andere vormen van ileus, waardoor beeldvorming onmisbaar is. Het lichaam vertelt iets, maar de scan vertelt alles.
De klassieke Rigler-triade
In de medische literatuur wordt vaak de Rigler-triade genoemd. Dat is een combinatie van drie kenmerken die samen sterk wijzen op een galsteenileus:
-
Lucht in de galwegen (pneumobilie); dat gebeurt omdat de fistel een open verbinding vormt.
-
Tekenen van darmobstructie, zoals uitgezette darmlissen.
-
Een galsteen buiten de galblaas, meestal zichtbaar in het ileum.
Voor een leek klinkt dat misschien als technisch jargon, maar feitelijk gaat het om een driedelig spoor dat de radioloog helpt om de dader te identificeren.
Waarom de CT-scan de voorkeur heeft
Hoewel een gewone buikfoto soms aanwijzingen geeft, kan een CT-scan de situatie veel preciezer in kaart brengen. De CT toont de steen, de locatie waar hij klemzit, de mate van obstructie en eventuele complicaties, zoals ontstekingen of beginnende perforatie. Het is de moderne, onmisbare blik achter de schermen.
Een voorbeeld: op een CT-scan kan een radioloog exact zien dat een steen van 3,2 cm vastzit in het distale ileum, terwijl de proximale darmlissen uitgezet zijn. De combinatie van steen, lucht in de galwegen en een abnormale verbinding maakt het beeld compleet.

Differentiatie: het onderscheid met andere vormen van ileus
Niet elke obstructie is een galsteenileus; soms gaat het om adhesies (verklevingen), tumoren, ingeklemde liesbreuken of zeldzamere oorzaken. De kracht van de CT-scan is dat zij die alternatieven vrijwel altijd zichtbaar maakt. Een galsteen heeft een kenmerkende dichtheid; bovendien is de fistel vaak indirect te herkennen aan de aanwezigheid van lucht in de galwegen.
Artsen letten daarbij op subtiele patronen: de vorm van de steen, de ligging, de verhouding tussen uitgezette en normale darmlissen. Het zijn kleine details, maar zij bepalen of de diagnose scherp wordt gesteld.
Laboratoriumonderzoek als aanvulling
Bloedonderzoek helpt niet om de galsteen zelf aan te tonen; het vertelt wél hoe het lichaam reageert. Verhoogde ontstekingswaarden, lichte koorts of uitdrogingsverschijnselen kunnen de urgentie vergroten. Bij ouderen, die allengs minder fysiologische marge hebben, zijn die labwaarden soms juist doorslaggevend om snel in te grijpen.
Voorbeeld
Een 82-jarige vrouw wordt opgenomen met hevige buikpijn en braken. Het lichamelijk onderzoek toont een strak gespannen buik, maar nog geen duidelijke buikvliesprikkeling (peritoneale prikkeling). Op de CT-scan ziet de radioloog een steen van bijna 4 cm die vastzit in het ileum, met lucht in de galwegen en forse darmafsnoering. De conclusie is helder: galsteenileus. De operatiekamer wordt klaargemaakt; hier is geen tijd voor afwachten.

Differentiële diagnose
De differentiële diagnoses voor een galsteenileus omvatten de volgende aandoeningen:
- Acute alvleesklierontsteking (acute pancreatitis)
- Galwegstenen (choledocholithiasis)
- Galblaasontsteking (cholecystitis)
- Galwegkanker (cholangiocarcinoom)
- Maagzweerziekte of maagzweer (peptisch ulcuslijden)
- Darmobstructie door andere oorzaken zoals verklevingen (adhesies), breuken (hernia’s) of tumoren
- Maag-darmontsteking (gastro-enteritis)
- Ontstekingsziekten van de darm (bijvoorbeeld de ziekte van Crohn)
- Divertikelontsteking (diverticulitis)
- Verminderde doorbloeding van de darmen (mesenteriale ischemie)
- Blindedarmontsteking (appendicitis)
- Darmpseudo-obstructie (intestinale pseudo-obstructie)
- Ileus door andere oorzaken (bijvoorbeeld medicatie-geïnduceerd of postoperatief)
- Maagdarmbloedingen (gastro-intestinale bloedingen, maagbloeding, darmbloeding)
- Buikslagaderaneurysma (abdominaal aorta aneurysma, afgekort als AAA)
Behandeling: de doorgang vrijmaken en de oorzaak aanpakken
Eerste stabilisatie: lichaam weer in balans
Wanneer een galsteenileus is vastgesteld, richten artsen zich eerst op stabilisatie. Dat betekent vochttoediening via een infuus, correctie van zout- en suikerwaarden en zo nodig pijnstilling of medicatie tegen misselijkheid. Vooral bij ouderen, die sneller uitdrogen en minder fysiologische reserve hebben, is deze fase cruciaal. Het lichaam moet genoeg kracht hebben om een operatie te doorstaan.
De operatie: steen verwijderen en obstructie opheffen
De kern van de behandeling is het wegnemen van de blokkade. Dat gebeurt vrijwel altijd met een operatie. De chirurg opent het deel van de darm waar de steen vastzit en verwijdert hem; deze ingreep heet een enterotomie. Zodra de steen is weggenomen, stroomt de darminhoud weer door en neemt de druk in de buik af. De darm wordt zorgvuldig gecontroleerd op beschadiging, want langdurige obstructie kan de wand kwetsbaar maken.
Wat doet men met de fistel?
Over de fistel zelf—de abnormale verbinding tussen galblaas en darm—bestaat al jaren discussie in de chirurgie. Er zijn twee strategieën:
-
Alleen de steen verwijderen, de fistel laten zitten en deze later beoordelen.
-
Een éénstapsprocedure, waarbij zowel de steen wordt verwijderd als de galblaas wordt weggenomen en de fistel wordt gesloten.
Bij kwetsbare patiënten kiest men vaak voor de eerste optie; een uitgebreide ingreep verhoogt de risico’s. Pas wanneer de patiënt hersteld is, kan worden bekeken of verdere behandeling nodig is. Bij sterkere patiënten kan een éénstapsprocedure zinvol zijn, zeker wanneer de galblaas ernstig ontstoken is.
Mogelijke complicaties en waakzaamheid na de operatie
Hoewel de meeste patiënten herstellen, schuilt het gevaar vooral in de combinatie van leeftijd, uitdroging en onderliggende ontsteking. Na de operatie houden artsen daarom scherp toezicht op tekenen van infectie, lekkage uit de darm of nieuwe obstructie. Ook wordt het voedingspatroon rustig opgebouwd; eerst vloeibaar, daarna licht verteerbare maaltijden, totdat de darm zijn normale ritme hervindt.
Waarom tijdig ingrijpen het verschil maakt
Een galsteenileus is geen aandoening die zich laat weglachen of uitzit. Hoe langer de obstructie voortduurt, hoe groter de kans op perforatie, sepsis of ernstige uitdroging. Vroeger werd nog wel eens gedacht dat de steen vanzelf kon doorschuiven, maar moderne inzichten tonen dat dit slechts uitzonderlijk gebeurt. Het is niet de plek voor optimistisch afwachten; hier geldt dat tijd verloren, risico gewonnen is.
Voorbeeld
Een 76-jarige vrouw met een steen van bijna 3,5 cm werd binnen enkele uren geopereerd. De chirurg verwijderde de steen via een enterotomie en liet de fistel ongemoeid, omdat haar conditie broos was. Twee dagen later liep zij alweer voorzichtig door de kamer; de doorstroming in de darm was hersteld en de pijn was vrijwel verdwenen. Dit soort herstel laat zien dat snel en trefzeker handelen het verschil kan maken tussen een langdurig ziekbed en een relatief vlot herstel.
Galsteenileus en intensive care
Bij een ernstige galsteenileus kan een (vaak oudere) patiënt op de intensive care belanden, zeker wanneer het lichaam al ontregeld raakt door aanhoudend braken, uitdroging, een lage bloeddruk, infectie of complicaties na een spoedoperatie. In zo’n fase gaat het niet meer alleen om een steen die de darm blokkeert, maar om bewaking en ondersteuning van vitale functies. Denk aan continue monitorbewaking van hartslag en zuurstofgehalte, infuuslijnen voor vocht en medicatie, elektroden op de borst en, in de zwaarste gevallen, zelfs beademing via een tube. Dat soort zorg laat zien hoe ernstig een galsteenileus bij kwetsbare ouderen kan worden: wat begint als buikpijn en misselijkheid, kan allengs uitgroeien tot een situatie waarin elk uur telt.
Herstel, risico op herhaling en mogelijke complicaties
Het herstel: langzaam maar meestal gestaag
Na een galsteenileus volgt een periode waarin het lichaam opnieuw zijn ritme moet vinden. De darmen, dagenlang onder druk gestaan, bewegen vaak eerst traag en aarzelend. Patiënten beginnen doorgaans met vloeibare voeding, gevolgd door lichte maaltijden; pas wanneer de buik weer rustig klinkt en de stoelgang op gang komt, durft men het gewone eetpatroon te hervatten. Vermoeidheid blijft soms wat langer hangen, zeker bij ouderen, maar allengs wint het lichaam terrein terug.
Wat bepaalt de hersteltijd?
De hersteltijd varieert per persoon. Factoren die invloed hebben zijn:
- de omvang van de steen en de duur van de obstructie
- de conditie van de darmwand
- bijkomende aandoeningen zoals hartfalen, diabetes of kwetsbare nieren
- leeftijd, die een sluipende maar doorslaggevende rol speelt
Een 50-jarige met een vlotte operatie herstelt soms binnen enkele dagen; een 82-jarige met uitdroging en onderliggende ziekte heeft meer tijd, vocht en zorg nodig.
Kans op herhaling: klein maar niet nul
Een galsteenileus is zeldzaam en komt meestal maar één keer voor. Toch is de kans op herhaling niet volledig uitgesloten. Wanneer de fistel blijft bestaan, kunnen resterende galstenen in theorie opnieuw de darm bereiken. Dit gebeurt niet vaak, maar het blijft een punt van aandacht bij controlebezoeken. Als de galblaas later alsnog wordt verwijderd, slinkt die kans praktisch tot nul.
Mogelijke complicaties
Hoewel de meeste mensen herstellen, bestaan er risico’s:
- Infecties, bijvoorbeeld een wondinfectie of een ontsteking van de buikholte (peritonitis).
- Lekkage uit de darm, vooral wanneer de obstructie lang heeft geduurd en de darmwand verzwakt is.
- Langdurige ileus, waarbij de darm nog enige tijd stil blijft staan, ook nadat de steen is verwijderd.
- Vocht- en zouttekorten, vooral bij patiënten die veel hebben gebraakt en voor de operatie al uitgedroogd waren.
Deze complicaties zijn niet de norm, maar artsen letten er nauwlettend op, omdat vroege signalen het herstel aanzienlijk kunnen versnellen.
Wanneer opnieuw aan de bel trekken?
Na ontslag uit het ziekenhuis is waakzaamheid geboden. Koorts, aanhoudende buikpijn, een opnieuw opgezette buik of aanhoudend braken zijn redenen om direct contact op te nemen met een arts. De darm is aan het herstellen; een kleine terugslag kan soms meer betekenen dan een onschuldige oprisping.
Voorbeeld
Een 74-jarige man verliet het ziekenhuis na vijf dagen met een rustige buik en een opgeknapt gevoel. Thuis merkte hij dat voedsel weer soepel werd verdragen, al kostte het hem een week extra om zijn oude energiepeil terug te vinden. Tijdens controle bleek dat de fistel weldra alsnog werd gesloten, omdat er nog meerdere stenen in de galblaas aanwezig waren. Daarna hervond hij zijn normale leven zonder verdere episodes.
Herstel bij galsteenileus is vaak een oefening in geduld en vertrouwen; het lichaam heeft tijd nodig, maar vindt doorgaans de weg terug naar evenwicht.
Wanneer moet je direct medische hulp zoeken?
Signalen die je niet mag negeren
Een galsteenileus ontwikkelt zich soms sluimerend, maar de omslag naar acuut kan onverwacht snel komen. Buikpijn die aanhoudt of juist verergert, ondanks rust of pijnstilling, is een belangrijk alarmsignaal. De darm probeert dan vergeefs door een afgesloten doorgang te persen; dat gaat zelden vanzelf over. Wanneer de pijn scherp wordt of zich uitbreidt naar de hele buik, is dat reden om meteen aan te kloppen bij een arts.
Misselijkheid, braken en uitdroging
Herhaald braken zonder verlichting is een klassieker bij obstructie. Het lichaam loopt letterlijk vast en duwt de inhoud terug naar boven. Vooral ouderen raken dan snel uitgedroogd. Dorst, droge mond, weinig urineren of verwardheid horen bij dat beeld en verdienen onmiddellijke aandacht. Uitdroging maakt elke buikklacht ernstiger en elke ingreep risicovoller.
Een plots opgezette buik
Een opgezette buik die strak en gespannen aanvoelt, is een kenmerkend teken dat gas en darminhoud niet verder kunnen. Als de buik binnen enkele uren voller wordt, moet dat direct worden beoordeeld. Het is geen opgeblazen gevoel van een zware maaltijd; het is mechanische druk die het lichaam ontregelt.
Koorts of ziek gevoel na eerdere galsteenklachten
Koorts of een algemeen ziek gevoel bij iemand die al langer galsteengerelateerde klachten heeft, kan wijzen op een onderliggende ontsteking of een beginnende fistel. Dat hoeft geen galsteenileus te zijn, maar het verhoogt de kans op complicaties. Hier geldt: liever een keer te vroeg naar de dokter dan te laat.
Bewustzijnsveranderingen bij ouderen
Bij kwetsbare ouderen zijn subtiele signalen soms het eerste teken van ellende. Plotselinge sloomheid, verwardheid of apathie kunnen duiden op uitdroging, infectie of beginnende sepsis. Deze verschijnselen zijn soms eerder zichtbaar dan buikpijn zelf en moeten daarom altijd ernstig worden genomen.
Kortom
Wanneer buikpijn aanhoudt, de buik opzet, braken doorgaat of de algehele toestand snel verslechtert, is spoedzorg noodzakelijk. Een galsteenileus is geen aandoening om uit te zitten; vroege hulp kan het verschil betekenen tussen een relatief vlot herstel en levensbedreigende complicaties.
Prognose
Galsteenileus is een ernstige aandoening. Veel patiënten hebben ook andere gezondheidsproblemen. Er is een hoog risico op complicaties en sterfte. Snelle operaties kunnen problemen na de operatie veroorzaken. Hoe langer de operatie duurt, hoe groter het risico. Bij een één-fase operatie is het risico op complicaties hoger, maar bij een twee-fasen operatie moet de patiënt twee keer onder narcose.
Complicaties
Mogelijke complicaties zijn:
- Darmobstructie
- Infecties
- Alvleesklierontsteking (pancreatitis)
- Nierfalen
- Open scheur in de wond (wonddehiscentie)
- Galfistel (ongewone verbinding met de galwegen)
- Bloedvergiftiging (sepsis)
- Urineweginfectie
- Lekkages op de operatienaad (anastomotische lekkages)
- Buikabces
- Overlijden
Preventie
Om galsteenileus te voorkomen:
- Regelmatige controles als je bekend bent met galstenen.
- Behandeling van galstenen om grote stenen te voorkomen.
- Gezonde levensstijl en dieet om galstenen te verminderen.
- Vroegtijdige operatie bij symptomatische galstenen teneinde complicaties te voorkomen.
Lees verder
Wie meer wil begrijpen van de kwetsbare balans in de buik, vindt elders op de site volop samenhangende onderwerpen. Zo laat Mesenteriale ischemie zien hoe darmen ontregelen wanneer de bloedtoevoer stokt, terwijl Alle aandoeningen met een G een breder overzicht biedt van klachten waarin galblaas en spijsvertering geregeld een hoofdrol spelen. Een enteroliet of darmsteen lijkt qua obstructie soms op een galsteenileus, al ontstaat zo’n steen heel anders. Ook braken krijgt extra kleur wanneer je beseft hoe vaak het optreedt bij obstructies zoals deze. En wie het ontstaan van de problemen bij de wortel wil vatten, vindt bij galstenen de basis van veel galblaasellende terug, waaronder soms de eerste schakel in de keten die tot een galsteenileus leidt.
Let op: Deze tekst is uitsluitend bedoeld ter algemene informatie en vervangt geen professioneel medisch advies. Raadpleeg bij gezondheidsklachten altijd een arts.
Geraadpleegde bronnen
- Turner, A. R., Sharma, B., & Mukherjee, S. (2022). Gallstone ileus. StatPearls. PMID: 28613584.
https://pubmed.ncbi.nlm.nih.gov/28613584/ - Becker, J. N. (2024). Chronic Gallstone Ileus Presenting as Acute Small Bowel Obstruction. PMID: 39552071.
https://pubmed.ncbi.nlm.nih.gov/39552071/ - Inukai, K. (2019). Gallstone ileus: A review. PMID: 31875141.
https://pubmed.ncbi.nlm.nih.gov/31875141/ - Ploneda-Valencia, C. F. (2017). Gallstone ileus: An overview of the literature. PMID: 28433486.
https://pubmed.ncbi.nlm.nih.gov/28433486/ - Ayantunde, A. A., & Agrawal, A. (2007). Gallstone ileus: Diagnosis and management. PMID: 17436117.
https://pubmed.ncbi.nlm.nih.gov/17436117/
Reacties en ervaringen
Hieronder kun je reageren op dit artikel. Je kunt bijvoorbeeld je ervaringen met galsteenileus delen, of praktische tips geven over hoe je omging met de klachten, de operatie of het herstel. Wij stellen reacties zeer op prijs. Reacties verschijnen niet automatisch; ze worden eerst door de redactie gelezen om spam of ongepaste inzendingen te voorkomen. Het kan daardoor enkele uren duren voordat jouw bijdrage zichtbaar is.