Last Updated on 22 maart 2026 by M.G. Sulman
Collagene colitis (CC) is een vorm van microscopische colitis – een ontsteking van de dikke darm (colitis) die gepaard gaat met langdurige, niet-bloederige waterige diarree – waarbij zich een dikke, niet-elastische collageenband ontwikkelt onder de bekleding van de dikke darm. Collageen is een soort structureel eiwit in het lichaam. Collagene colitis is een aandoening die voor het eerst werd beschreven in 1976. De kenmerkende symptomen van collagene colitis omvatten chronisch terugkerende episodes van frequente stoelgang (3-20 per dag) die bestaan uit niet-bloederige, waterige diarree en buikkrampen.

Gebruik de inhoudsopgave om snel te navigeren
- 1 Wat is microscopische colitis?
- 2 Synoniemen
- 3 📌 Historie, feiten, fabels en trivia over collagene colitis
- 4 Wie krijgt het?
- 5 Oorzaak van collagene colitis
- 6 Wie loopt risico op collagene colitis?
- 7 Symptomen van collagene colitis
- 8 Onderzoek en diagnose
- 9 Behandeling van collagene colitis
- 10 Prognose
- 11 FAQ collagene colitis – alles wat je wil (en móét) weten!
- 12 Lees verder
- 13 Disclaimer
- 14 Bronnen
- 15 Reacties en ervaringen
Wat is microscopische colitis?
Microscopische colitis is een ontsteking van de dikke darm (colon) die aanhoudende waterige diarree veroorzaakt. De aandoening dankt zijn naam aan het feit dat het nodig is om darmweefsel onder een microscoop te onderzoeken om de diagnose te kunnen stellen, aangezien het weefsel er normaal uit kan zien met een colonoscopie of sigmoïdoscopie.
Er zijn verschillende subtypes van microscopische colitis:
- Collagene colitis, waarbij zich een dikke laag eiwit (collageen) ontwikkelt in het colonweefsel
- Lymfatische colitis, waarbij de hoeveelheid witte bloedcellen (lymfocyten) in het colonweefsel toeneemt
- Onvolledige microscopische colitis, waarbij sprake is van gemengde kenmerken van collagene en lymfatische colitis.
Synoniemen
Collagene colitis staat ook bekend als ‘colitis collagenosa’.
Wie krijgt het?
Collagene colitis treft vooral vrouwen van middelbare leeftijd (50-70 jaar), met een verhouding van ongeveer 9:1 tussen vrouwen en mannen. De ziekte kan ook kinderen treffen. Het jaarlijkse aantal gemelde gevallen ligt rond de 10 tot 15,7 gevallen per 100.000 mensen.
Oorzaak van collagene colitis
Anno 2025 is nog niet opgehelderd wat de oorzaak is van collagene colitis. Sommige mensen denken dat iets in het maag-darmkanaal deze abnormale immuunrespons veroorzaakt. Dit kunnen bacteriën, pollen of voedsel zijn.
Het gebruik van bepaalde medicijnen kan bij sommige mensen mogelijk ook de aandoening veroorzaken. Deze medicijnen kunnen zijn:
- Niet-steroïde anti-inflammatoire geneesmiddelen (NSAID’s). Deze omvatten aspirine, naproxen en ibuprofen.
- Medicijnen tegen zure reflux
- Medicijnen met een hoog cholesterolgehalte
- Diabetes medicijnen
- Geneesmiddelen om depressie te behandelen
- Medicijnen tegen hoge bloeddruk
Bepaalde bacteriën kunnen bij sommige mensen CC veroorzaken. Mogelijk krijg je de eerste episode nadat je ziek bent geworden door bacteriën. Deze kunnen Campylobacter jejuni of Clostridium difficile omvatten. Gifstoffen in deze bacteriën kunnen het binnenoppervlak van je dikke darm beschadigen. Dit kan ontstekingen veroorzaken. Sommige deskundigen denken dat bepaalde virussen ook een rol kunnen spelen bij CC.
Sommige voedingsmiddelen kunnen bij sommige mensen de aandoening veroorzaken. Bepaalde voedingsmiddelen kunnen de CC-symptomen ook verergeren. Deze kunnen cafeïne en melkproducten omvatten.
Wie loopt risico op collagene colitis?
Het hebben van bepaalde aandoeningen kan je risico op de ziekte vergroten. Deze zijn:
- Diabetes
- Coeliakie
- Schildklieraandoening
- Prikkelbaredarmsyndroom (PDS)
Roken kan je risico op de aandoening vergroten. Roken verstoort de doorbloeding van de darmen.
Je risico op CC kan ook groter zijn als iemand in je familie de aandoening of een andere inflammatoire darmziekte heeft.
Symptomen van collagene colitis
Het belangrijkste symptoom van collagene colitis is waterige diarree. Deze diarree bevat géén bloed. Het kan zijn dat je elke dag meerdere van deze waterige stoelgangen hebt. Dit kan weken of maanden duren. Bij de meeste mensen verdwijnt deze diarree een tijdje om later weer de kop op te steken.
Andere symptomen van collagene colitis kunnen zijn:
- Gewichtsverlies
- Buikpijn of buikkrampen
- Opgeblazen gevoel
- Uitdroging
- Misselijkheid
- Vermoeidheid of zwakte
- Gewrichtspijn
- Het niet kunnen beheersen van de stoelgang
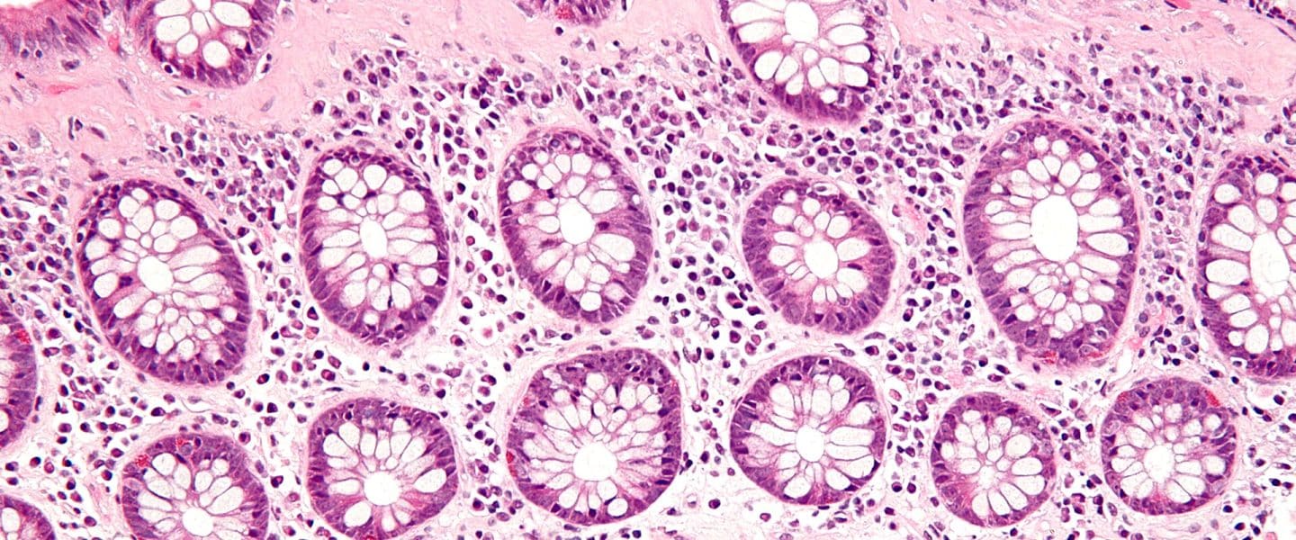
Onderzoek en diagnose
Het kan jaren duren voordat de diagnose van collagene colitis gesteld wordt. Dat komt doordat deze vorm van inflammatoire darmaandoening minder vaak voorkomt en daarom minder vaak door artsen wordt gezien. Dit kan vertraging veroorzaken bij het stellen van de juiste diagnose voor patiënten die aan deze aandoening lijden.
Bloedonderzoek en ontlastingsonderzoek geeft meestal geen afwijkende uitslagen en endoscopie (colonoscopie of sigmoidoscopie) lijkt ook normaal. Dit bemoeilijkt het stellen van de juiste diagmose.
De diagnose van collagene colitis is gebaseerd op microscopische analyse van darmbiopten. Bij nader microscopisch onderzoek onthullen weefselbiopten een verdikte laag van sub-epitheliaal collageen.
Behandeling van collagene colitis
Medische behandeling
De behandeling van collagene colitis is moeilijk te beoordelen omdat de symptomen spontaan kunnen verdwijnen.
In eerste instantie zullen artsen je adviseren om te stoppen met het gebruik van medicijnen die worden geassocieerd met collagene colitis.
Er bestaat een verscheidenheid aan medicijnen die de symptomen kunnen helpen verminderen of oplossen. De meeste onderzoeken suggereren dat budesonide een effectieve eerstelijnsbehandeling is voor collagene colitis. Budesonide is een bijnierschorshormoon (corticosteroïd). Het remt ontstekingen.
De behandeling bestaat voorts vaak uit het gebruik van ontstekingsremmende medicijnen, waaronder sulfasalazine, mesalamine of 5-aminosalicylzuur. Als de symptomen aanhouden of als er sprake is van intolerantie voor medicijnen, kunnen prednison, cholestyramine (een cholesterolverlagend middel) of verschillende antibiotica worden voorgeschreven.
De groeihormoonremmer octreotide en de corticosteroïd budesonide zijn mogelijk ook nuttig bij de behandeling van CC.
In zeldzame gevallen, waarin ernstige symptomen niet reageren op conservatieve behandeling, kan de behamdelend arts een operatie aanbevelen.
Leefstijlveranderingen
Het aanbrengen van veranderingen in je leefstijl kan meestal ook helpen de symptomen te verminderen. Deze omvatten:
- stoppen met roken
- het handhaven van een gezond lichaamsgewicht en BMI
- goede bloeddrukwaarden handhaven
- regelmatig bewegen of sporten
- gehydrateerd blijven door voldoende te drinken
- het vermijden van overmatig gebruik van vrij verkrijgbare NSAID’s, zoals ibuprofen en aspirine
Eetpatroon
Bepaalde voedingsmiddelen en chemicaliën kunnen de klachten verergeren en zelfs opflakkeringen veroorzaken.
De volgende maatregelen kunnen helpen:
- het vermijden van cafeïne en kunstmatige suikers
- het vermijden van zuivelproducten als je lactose-intolerant bent
- het vermijden van voedingsmiddelen die gluten bevatten
Het is ook belangrijk om voldoende te drinken, vooral als je diarree hebt.
Prognose
In de meeste gevallen reageert collagene colitis goed op de behandeling. In sommige gevallen kunnen de symptomen zelfs verdwijnen zonder medische tussenkomst.
FAQ collagene colitis – alles wat je wil (en móét) weten!
Collagene colitis: een lastige naam voor een nog lastiger probleem. Plotselinge, waterige diarree uit het niets, een buik die doet alsof er een feestje aan de gang is (zonder uitnodiging), en artsen die vaak in eerste instantie hun schouders ophalen. Klinkt bekend? Dan is deze FAQ voor jou. Geen stoffige medische praat, maar heldere antwoorden op de vragen die er écht toe doen. Want laten we eerlijk zijn: als je lichaam raar doet, wil je gewoon weten wat er aan de hand is en – vooral – wat je eraan kunt doen.
In deze FAQ duiken we in alles rondom collagene colitis: wat het is, hoe je eraan komt (spoiler: niemand weet het precies), welke triggers een rol kunnen spelen en wat er wél helpt. Of je nu net de diagnose hebt gekregen of al een tijdje met klachten worstelt, hier vind je een bak aan nuttige info, zonder medische poespas. Dus, pak een kop thee (of iets sterkers, we oordelen niet) en laten we erin duiken!
| Vraag | Antwoord |
|---|---|
| Wat is collagene colitis eigenlijk? | Dit is een vorm van microscopische colitis, een ontsteking van de dikke darm die je niet ziet op een gewone coloscopie. Het kenmerk? Een verdikte collageenlaag in de darmwand. |
| Wat zijn de belangrijkste klachten? | Diarree. Maar dan écht diarree: waterdun, plotseling, en vaak meerdere keren per dag. Soms ook buikpijn, opgeblazen gevoel of gewichtsverlies. |
| Waar komt het ineens vandaan? | Niemand weet het 100% zeker. Auto-immuunreactie? Iets met bacteriën? Een bijwerking van medicijnen? Het lijkt een mix van factoren te zijn. |
| Wie krijgt dit? | Vooral vrouwen boven de 50, maar mannen en jongere mensen zijn zeker niet uitgesloten. Het komt vaker voor dan je denkt. |
| Is het besmettelijk? | Nee, je kunt het niet overdragen op anderen. Het is geen infectie, maar een ontstekingsreactie in de darm. |
| Wordt het erger met de tijd? | Meestal niet, maar het kan wel een grillig verloop hebben. Soms verdwijnen de klachten spontaan, soms komen ze weer terug. |
| Wat triggert een opvlamming? | Stress, bepaalde medicijnen (NSAID’s, maagzuurremmers, SSRI’s), infecties en mogelijk ook voeding. Maar dat verschilt per persoon. |
| Welke medicijnen worden vaak gebruikt? | Budesonide (een milde corticosteroïde) is dé go-to. Werkt vaak goed en heeft weinig bijwerkingen. Andere opties: loperamide tegen diarree of mesalazine. |
| Kan voeding helpen? | Voor sommige mensen wel! Vet en zuivel kunnen de boel verergeren. Een FODMAP-arm dieet of glutenvrij proberen kan ook nuttig zijn. |
| Moet ik gluten vermijden? | Niet per se, tenzij je merkt dat gluten je klachten verergeren. Het is geen coeliakie, maar sommige mensen reageren er wel op. |
| Is het hetzelfde als PDS? | Nee. PDS (prikkelbare darm syndroom) heeft ook buikklachten en diarree, maar collagene colitis is een echte ontstekingsziekte met een verdikte collageenlaag in de darmwand. |
| Hoe weet ik zeker dat ik het heb? | Alleen een darmbiopsie kan dit 100% bevestigen. Een coloscopie zonder weefselonderzoek laat niets afwijkends zien. |
| Kan ik hier helemaal vanaf komen? | Soms verdwijnen de klachten vanzelf of met medicatie. Maar het kan ook chronisch zijn en terugkomen in periodes. |
| Wat gebeurt er als ik niks doe? | Dat hangt af van de ernst. Sommige mensen hebben milde klachten en kunnen ermee leven, anderen hebben echt behandeling nodig. |
| Zijn probiotica een goed idee? | Er is geen bewijs dat ze helpen bij collagene colitis, maar sommige mensen voelen zich er beter door. Kan geen kwaad om te proberen. |
| Maakt stress het erger? | Bij veel mensen wel. Stress heeft invloed op je darmen, dus ontspanning en goed slapen kunnen zeker helpen. |
| Zijn er natuurlijke behandelingen? | Kurkuma, boswellia en aloë vera worden weleens genoemd, maar wetenschappelijk bewijs ontbreekt. |
| Wat als budesonide niet helpt? | Dan zijn er andere opties, zoals immuunonderdrukkers of TNF-remmers. Maar dat wordt pas overwogen als niets anders werkt. |
| Is het gerelateerd aan andere auto-immuunziekten? | Ja, collagene colitis komt vaker voor bij mensen met coeliakie, schildklieraandoeningen en reuma. |
| Heeft het invloed op opname van voedingsstoffen? | Over het algemeen niet, maar als je langdurig diarree hebt, kun je tekorten krijgen (denk aan elektrolyten, B12, ijzer). |
| Kan het overgaan zonder behandeling? | Ja, sommige mensen hebben periodes zonder klachten. Maar als je veel last hebt, is behandeling meestal nodig. |
| Is het levensbedreigend? | Nee, collagene colitis is vervelend, maar niet gevaarlijk. Het verhoogt ook niet het risico op darmkanker. |
| Zijn er speciale onderzoeken nodig? | Biopsie is de gouden standaard. Soms wordt er ook gekeken naar ontstekingswaarden in het bloed of de ontlasting. |
| Kan het samenhangen met maagzuurremmers? | Ja! PPI’s (zoals omeprazol) worden vaker in verband gebracht met microscopische colitis. |
| Is het zeldzaam? | Het wordt vaak gemist, maar het is niet zo zeldzaam als men vroeger dacht. Meer mensen hebben het dan je zou verwachten. |
| Helpt een vezelrijk dieet? | Soms juist niet. Oplosbare vezels (zoals in haver en psyllium) kunnen mild helpen, maar onoplosbare vezels (zoals volkorenbrood) kunnen de darmen irriteren. |
| Wat als ik niks verdraag qua eten? | Dan kan een eliminatiedieet helpen om uit te zoeken waar je darmen op reageren. Kleine, lichte maaltijden kunnen ook beter werken dan grote porties. |
| Zijn er momenten dat het erger wordt? | Ja, bij sommige mensen vooral in de ochtend of na het eten. Ook seizoensgebonden opvlammingen komen voor. |
| Moet ik naar een MDL-arts? | Dat kan verstandig zijn, zeker als je klachten aanhouden of steeds terugkomen. Een huisarts mist deze diagnose vaak. |
| Zijn er langdurige gevolgen? | Over het algemeen niet, maar chronische diarree kan leiden tot uitdroging, elektrolytenverlies en gewichtsverlies. |
Lees verder
Klachten als chronische diarree staan zelden op zichzelf. Wie meer wil begrijpen van ontstekingen in de darm, kan ook verder lezen over colitis ulcerosa, een andere vorm van darmontsteking die weliswaar wezenlijk verschilt van collagene colitis, maar qua buikklachten, ontlastingsveranderingen en impact op het dagelijks leven soms raakvlakken vertoont. Ook een opgeblazen gevoel of een opgezette buik kan in dit bredere plaatje meespelen. Dat zijn geen diagnoses op zichzelf, maar signalen die iets kunnen zeggen over prikkeling van de darm, veranderde stoelgang, gasvorming of verstoorde vertering.
Daarnaast is het zinvol om te kijken naar de rol van voeding en aanvullende ondersteuning. In het artikel over vezels lees je hoe vezelinname de darmwerking beïnvloedt, al is nuance hier geboden, want niet ieder darmtype verdraagt vezels op dezelfde wijze. Wie belangstelling heeft voor natuurlijke middelen die in verband worden gebracht met ontstekingsremming, kan ook het stuk over Boswellia serrata bekijken. Zo krijg je allengs een breder beeld van hoe darmklachten, ontsteking, voeding en mogelijke ondersteuning met elkaar samenhangen.
Disclaimer
Dit artikel is bedoeld als algemene informatie en vervangt geen medisch advies, onderzoek of behandeling door een arts. Collagene colitis kan klachten geven die ook bij andere darmziekten voorkomen, zoals langdurige waterdunne diarree, buikpijn, gewichtsverlies of uitdroging. Laat je daarom bij aanhoudende of verergerende klachten beoordelen door je huisarts of specialist. Stop ook niet op eigen houtje met voorgeschreven medicatie en begin niet zelf met behandelingen of diëten zonder medisch overleg.
Bronnen
- National Institute of Diabetes and Digestive and Kidney Diseases. (z.d.). Definition & facts for microscopic colitis. U.S. Department of Health and Human Services. Geraadpleegd op 22 maart 2026, van https://www.niddk.nih.gov/health-information/digestive-diseases/microscopic-colitis/definition-facts
- National Institute of Diabetes and Digestive and Kidney Diseases. (z.d.). Symptoms & causes of microscopic colitis. U.S. Department of Health and Human Services. Geraadpleegd op 22 maart 2026, van https://www.niddk.nih.gov/health-information/digestive-diseases/microscopic-colitis/symptoms-causes
- Mayo Clinic. (2024, 16 januari). Microscopic colitis: Symptoms and causes. https://www.mayoclinic.org/diseases-conditions/microscopic-colitis/symptoms-causes/syc-20351478
- Crohn’s & Colitis UK. (z.d.). Microscopic colitis. Geraadpleegd op 22 maart 2026, van https://www.crohnsandcolitis.org.uk/info-support/information-about-crohns-and-colitis/all-information-about-crohns-and-colitis/understanding-crohns-and-colitis/microscopic-colitis
Reacties en ervaringen
Hieronder kun je reageren op dit artikel. Je kunt bijvoorbeeld je ervaringen delen over collagene colitis, of tips geven. Wij stellen reacties zeer op prijs. Reacties worden niet automatisch (direct) gepubliceerd. Dit gebeurt nadat ze door de redactie gelezen zijn. Dit om ‘spam’ of anderszins ongewenste c.q. ongepaste reacties eruit te filteren. Daar kunnen soms enige uren overheen gaan.
28 jaar lang budesonide geslikt ging prima tot dat mijn bijnieren geen hormonen meer aanmaakten bleek uit een onderzoek naar mijn bijnieren. probeer het nu maar met loperamide de boel onder controle te houden
Dank voor je reactie, Wim. Wat ingrijpend dat na 28 jaar budesonide je bijnieren geen hormonen meer aanmaakten. Goed dat dit via onderzoek aan het licht is gekomen; langdurig gebruik van corticosteroïden kan inderdaad de eigen bijnierfunctie onderdrukken. Veel succes en sterkte bij het vinden van een goede balans in je behandeling.